Toggle navigation
Trang chủ
Tôm giống
KHU SẢN XUẤT TÔM GIỐNG
TÔM GIỐNG -TÔM THẺ CHÂN TRẮNG GIỐNG NAM ĐẠI DƯƠNG
Quy Trình Sản Xuất Tôm Thẻ Giống NAM ĐẠI DƯƠNG
Kiểm Tra Chất Lượng Tôm Bố Mẹ
Hướng Dẫn Kiểm Tra - Lựa Chọn Tôm Giống
Tôm Giống Thẻ Nuôi Công Nghiệp
Tin Tức
Giá Tôm
DANH SÁCH CÔNG TY NHẬP TÔM BỐ MẸ
BỆNH PHỔ BIẾN TRÊN TÔM NUÔI
Kỹ Thuật Nuôi
TÔM 360
Video
Giới thiệu
Liên hệ
0817 279 779
Trang chủ
Tin Tức
Bệnh phân trắng (WFD/WFS)
Bệnh phân trắng (WFD/WFS)
Ngành công nghiệp nuôi tôm trên thế giới nói chung và Việt Nam nói riêng đang phát triển rất nhanh chóng. Cùng với việc mở rộng qui mô sản xuất, mức độ thâm canh hoá ngày càng cao đã dẫn đến sự xuất hiện ngày càng nhiều mầm bệnh nguy hiểm đe dọa đến sự phát triển bền vững của ngành công nghiệp nuôi tôm và gây thiệt hại nghiêm trọng về mặt kinh tế.
Sau đây sieuthitomgiong cung cấp quý bà con những thông tin cơ bản nhất về tác nhân gây bệnh
Bệnh phân trắng (WFD/WFS)
, chẩn đoán nhanh thông qua hình ảnh trực quan nhằm giúp người nuôi tôm có thể xác định nhanh tình trạng nhiễm bệnh của tôm để có hướng kịp thời xử lý và một số giải pháp chung để phòng tránh các loại bệnh phổ biến nhất trên tôm hiện nay.
N
guyên nhân tôm bị bệnh phân trắng
: Hiện chưa xác định được chính xác nguyên nhân, có nhiều nghiên cứu chứng minh rằng tôm bệnh phân trắng do nhóm vi khuẩn Vibrio, cũng có những nghiên cứu khác cho rằng nguyên nhân do trùng hai tế bào (Gregarine) hoặc nhóm ký sinh trùng có tên Vermiform. Một vài nghiên cứu cho thấy tôm nhiễm bệnh có sự hiện diện của nhiều loại mầm bệnh khác nhau như vi khuẩn (nhóm Vibrio), ký sinh trùng (Vermiform, trùng hai tế bào – Gregarine), virus.
Chẩn đoán khi tôm bị bệnh phân trắng
: Tôm bệnh thải ra phân trắng, thỉnh thoảng sợi phân tôm cũng có màu vàng nhạt, gan tụy teo hay mềm nhũn, tôm bệnh phân trắng thường kèm theo triệu chứng mềm vỏ hay vỏ lỏng lẻo. Một vài ngày sau khi nhiễm bệnh, tôm sẽ yếu và bơi lội lờ đờ trên mặt nước, tôm yếu dần và chết. Nên tiến hành các xét nghiệm đơn giản nhằm xác định chính xác nguyên nhân gây bệnh để có hướng xử lý thích hợp. Việc đầu tiên và đơn giản nhất là kiểm tra ký sinh trùng trong ruột tôm bằng cách cắt một đoạn ruột tôm và soi dưới kính hiển vi quang học xem có nhiễm ký sinh trùng hay không. Nếu tôm không nhiễm ký sinh trùng, tiến hành kiểm tra tổng vi khuẩn Vibrio trong môi trường ao nuôi, nếu mật số Vibrio quá cao, có thể nguyên nhân do vi khuẩn Vibrio.
Hình 14: Dấu hiệu lâm sàng của WFS. (a) Sợi phân trắng nổi trên mặt nước; (b) Sợi phân trắng trên sàng ăn; (c) Tôm nhiễm bệnh ruột có màu trắng; (d) Tôm nhiễm bệnh ruột có màu vàng nâu; (e) Ảnh chụp hiển vi bên trong của sợi phân.
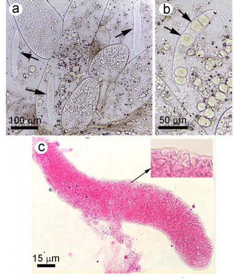
Hình 15: Mẫu nhuộm tươi của mô gan tụy tôm quan sát dưới kính hiển vi quang học. (a) Ảnh hiển vi độ phóng đại thấp cho thấy có 3 con vermiform trong tế bào ống gan tụy tôm; (b) Ảnh hiển vi độ phóng đại cao cho thấy một con vermiform có các cấu trúc giống bào tử, nhưng thực ra đó là các tế bào B bị bong tróc và tồn tại độc lập; (c) Ảnh hiển vi độ phóng đại cao của ký sinh trùng nhuộm bởi dung dịch Rose Bengal cho thấy rõ các cấu trúc bên trong màng tế bào.
Hình 16: Mẫu mô gan tụy tôm nhuộm bằng H&E cho thấy rõ hình thái của vermiform và cấu trúc giống bào tử.
Hình 17: Trùng hai tế bào phân lập được trong ruột của tôm bệnh phân trắng.
Phòng trị bệnh phân trắng trên tôm
: Áp dụng các biện pháp phòng bệnh tổng hợp do có nhiều tác nhân gây bệnh phân trắng. Theo khuyến cáo của các chuyên gia Thái Lan là người nuôi tôm nên giảm mật độ nuôi trong mùa nắng nóng. Điều này làm giảm hàm lượng vật chất hữu cơ ở nền đáy ao và làm giảm sự phát triển của vi khuẩn Vibrio spp. Bên cạnh đó, một số nhà nuôi tôm đã thành công trong việc kiểm soát bệnh này bằng cách sử dụng chế phẩm sinh học có chứa vi khuẩn Bacillus subtilis để hạn chế sự phát triển của nhóm vi khuẩn Vibrio spp. gây bệnh. Nuôi ghép tôm với cá rô phi cũng có tác dụng tốt trong kiểm soát nhóm vi khuẩn Vibrio phát triển trong ao nuôi. Để khống chế trùng hai tế bào, sử dụng tỏi với liều lượng 5-10 g/kg thức ăn cho hiệu quả cao.
BÀI VIẾT KHÁC
Công Ty Sản Xuất Tôm Giống Nam Đại Dương đạt chứng nhận cơ sở an toàn dịch bệnh động vật thủy sản
ngày 23/06/2025 Công Ty Sản Xuất Giống Thủy Sản Nam Đại Dương đã tiếp nhận lô Tôm Bố Mẹ SIS – dòng Regular Growth từ Hoa Kỳ
Công Ty Tôm Giống Nam Đại Dương Nhập Tôm Bố Mẹ Regular growth Mới 02/2024
Nam Đại Dương Nhập Tôm Bố Mẹ Regular growth Mới 10/2023
Trung Tâm Sản Xuất Tôm Giống Nam Đại Dương Nhập Tôm Bố Mẹ Mới 2023
Nam Đại Dương Nhập Tôm Bố Mẹ Tháng 12 /2022 Từ SIS hawaii
Giám sát an toàn dịch bệnh đối với cơ sở sản xuất giống thủy sản
Tôm Giống Nam Đại Dương Nhập Tôm Bố Mẹ Từ SIS hawaii
DANH SÁCH CÔNG TY NHẬP TÔM BỐ MẸ SẢN XUẤT NĂM 2020 MỚI NHẤT
nuôi tôm trong bể bơi của Nông dân Mỹ
Hỗ trợ trực tuyến
Đặt Lịch - Kinh Doanh
0939 357 200
Tư Vấn - Kỹ Thuật
0817 279 779
Danh mục
KHU SẢN XUẤT TÔM GIỐNG
TÔM GIỐNG -TÔM THẺ CHÂN TRẮNG GIỐNG NAM ĐẠI DƯƠNG
Quy Trình Sản Xuất Tôm Thẻ Giống NAM ĐẠI DƯƠNG
Kiểm Tra Chất Lượng Tôm Bố Mẹ
Hướng Dẫn Kiểm Tra - Lựa Chọn Tôm Giống
Tôm Giống Thẻ Nuôi Công Nghiệp
0817 279 779